在繁忙的内分泌科门诊,2型糖尿病(T2DM)及常见并发症占据了诊疗工作的绝大多数。然而,当常规诊疗思路遭遇“违和感”时,若能敏锐捕捉线索、深入探查,往往能揭示隐藏在常见病背后的罕见内分泌疾病。在2025中国医师协会内分泌代谢科医师年会(CEAAC 2025)期间,浙江省宁海县第二医院内分泌代谢科戴慧雪医师就“基层医生如何发现常见病的少见表现”这一话题,结合一例由糖尿病酮症酸中毒(DKA)切入、最终诊断为克氏综合征的病例,以及另一例高血压合并肾上腺意外瘤的案例,探讨基层医生如何在“泌境”中寻踪觅迹,以期提升对少见病的识别与管理能力。
一、病例分享:从DKA到染色体异常的追索
患者概况
男性,38岁,工人。因“口干、多饮2月余,腹痛2天”急诊入院。患者既往无糖尿病史,喜食甜食饮料,无视物模糊,无肢端麻木等不适,一直未重视未就诊。吸烟约10余年,平均20支/日。无糖尿病家族史。否认家族二系三代成员中遗传性疾病史。入院前2天出现进行性加重的脐周腹痛伴恶心呕吐2次,无畏寒发热,无心慌手抖,无肢端麻木,无视物模糊等不适。
急诊关键检查和初诊考虑
体格检查方面,脉搏120次/分,痛苦貌,面部皮肤细腻,皮肤干燥。微量法血糖“High”,尿酮体(++),尿糖(+++),CRP升高(42.6 mg/L)。全腹部CT平扫提示脂肪肝。初步考虑“糖尿病性酮症酸中毒”。
诊疗深化与“违和感”浮现
入院后紧急检查的血气分析证实,严重的代谢性酸中毒(pH 7.12,细胞外碱剩余-23.5 mmol/L)和高血糖(34.6 mmol/L);同时血生化全套提示血肌酐升高(145 μmol/L)、低钠血症(120.4 mmol/L)和高钾血症(5.9 mmol/L)。初步诊断为DKA、肾功能不全和脂肪肝。经过一级护理、小剂量胰岛素静滴和积极补液等标准治疗后,患者酮症迅速纠正(表1)。
表1. 住院期间血气分析及电解质相关检查

然而,在后续系统评估中,几个细节偏离了典型T2DM的常见轨迹,触发了进一步思考:
体格检查:虽无典型特征,但记录提及“面部皮肤细腻”,这是一个容易被忽略的女性化性状。
性腺功能评估:因考虑全面评估,进行了生殖激素检查(表2)。结果提示,卵泡刺激素(33.70 IU/L)和黄体生成素(17.20 IU/L)显著升高,而睾酮水平降低(2.72 nmol/L),符合高促性腺激素性性腺功能减退(原发性性腺功能低下)的激素谱。
表2. 住院期间生殖激素常规检查

生育史追问:深入追问个人史得知,患者婚后因不育症曾多方求治,其子实为通过试管婴儿技术(使用精子库精子)获得。这一信息将“性腺功能减退”从实验室数据与个人困扰紧密关联。
甲状腺功能异常:同时存在低T3、低T4而促甲状腺激素不升高的“低T3低T4综合征”,常见于严重应激、消耗性疾病,但在此也提示可能存在更广泛的内分泌轴紊乱。
真相揭示——克氏综合征(KS)
综合以上信息,对该病例进行病情复盘(图1)。基于高促性腺激素性性腺功能减退和不育史,临床高度怀疑克氏综合征。随即进行的针对性检查锁定了诊断:睾丸超声显示双侧睾丸偏小(约15*7*11mm),符合睾丸发育不良;垂体MRI未见占位,排除了继发于垂体病变的性腺功能减退;染色体核型分析回报结果为“47,XXY”,即克氏综合征最常见的核型。

图1. 病情复盘思维导图
关于克氏综合征和病例启示
克氏综合征(Klinefelter Syndrome,克莱恩费尔特氏综合征,Klinefelter综合征/KS),又称为先天性睾丸发育不全综合征,是一种性染色体综合征,通常由男性多出一条X或更多条X染色体引起,最常见的核型是47,XXY[1]。其主要表现为睾丸功能异常、性腺功能减退,出现代谢紊乱(包括糖尿病、骨质疏松、代谢综合征等),易发生恶性生殖细胞肿瘤[2]。该病例清晰地展示了糖尿病与KS的并存关系,这并非偶然。流行病学研究显示KS患者中糖代谢异常和糖尿病的患病率显著高于普通人群。西方国家KS并发糖尿病的发病率大约为10%~39%[3];丹麦的一项研究发现,KS男性患T2DM的风险几乎是同龄对照组的4倍[4]。其机制可能与性腺功能减退导致的胰岛素抵抗及潜在的遗传因素有关[1,5]。
本例患者以急性DKA起病,掩盖了长期存在的性腺功能减退背景,若非进行系统评估并深挖病史,极易漏诊。
二、病例掠影:高血压背后的“腺瘤”
患者概况
男性,68岁,农民。口干多饮多尿1月余,拟“T2DM伴血糖控制不佳”收住入院。有20余年高血压病史,血压控制不理想。
关键筛查与诊断
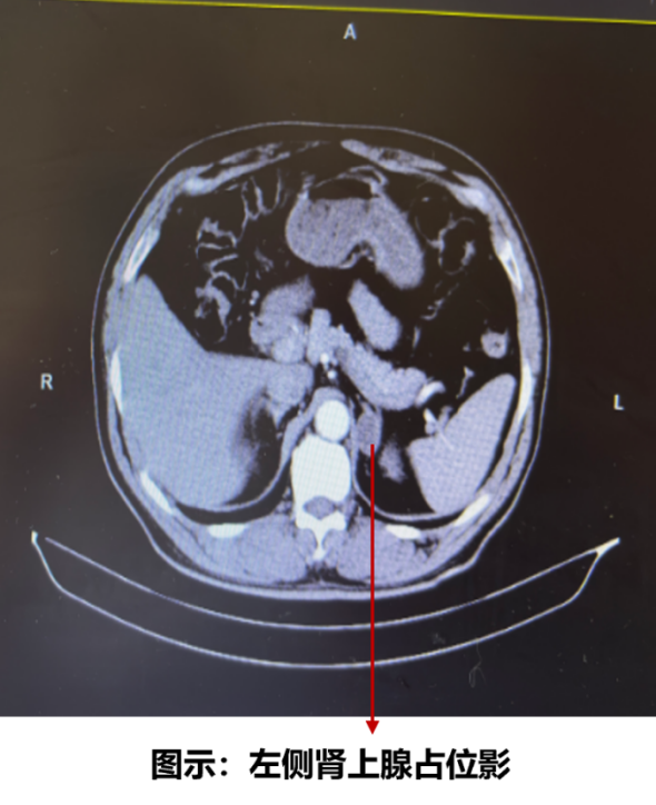
在评估难治性高血压时,常规进行了肾上腺影像学检查(CT),发现左侧肾上腺一约22*17 mm的低密度占位,影像学提示腺瘤可能性大(图2)。实验室检查报异常醛固酮(卧位),246.96 nmol/l,高于正常值范围(10~160nmol/l)。结合患者存在高血压、低血钾倾向,初步诊断原发性醛固酮增多症(Primary Aldosteronism,简称原醛症)。进一步通过“生理盐水试验”进行确诊,卧位醛固酮水平在试验前后均显著高于正常值(试验前246.96 nmol/l,试验后220.45 nmol/l),且不被生理盐水负荷所抑制,符合原醛症诊断。

图2. 肾上腺影像学CT检查
治疗与转归
后转入泌尿外科行左侧肾上腺腺瘤切除术。术后一个月后随访,其血压(130/80 mmHg)和血糖(空腹血糖:6.3 mmol/L;餐后血糖:6.6~9.0mmol/L)控制均得到显著改善,减少了降压和降糖药物的需求。
三、启示:从“常见”中识别“罕见”
结合上述两个病例,我们可以提炼出基层医生在内分泌代谢病诊疗中,提升少见病识别能力的核心思维与实用策略(图3)。
1.深挖细查:问清病史,细致查体尤其关注特殊体征,如皮肤色素沉着、紫纹、特殊面容、身材异常高大或肢端肥大、男性乳房发育或睾丸过小等。
2.巧用基础工具,进行深度筛查:基础实验室检查是“照妖镜”,不同情况和组合对应思考是否为原醛症、甲旁亢、肾上腺皮质功能减退等。基础影像学检查性价比高,是筛查内分泌占位性病变的有效工具。
3.有效转诊:当初步筛查提示少见病可能时,转诊至关重要。有效的转诊不是简单的“介绍上级医院”,而应做到提供清晰线索。
4.协同管理:诊断明确后,基层医生可承接长期的随访、监测指标、药物调整等工作,与上级医院形成互补、连续的管理模式。

图3. 提升少见病识别能力的核心思维与实用策略
四、结语
内分泌代谢领域的少见病并非遥不可及,它们常常潜伏在常见病的表象之下。持续学习、规范筛查、有效转诊与协同管理,是提升基层内分泌诊疗水平、使更多隐藏疾病得以早诊早治的关键路径。
参考文献
[1] K. Belling, et al. Klinefelter syndrome comorbidities linked to increased X chromosome gene dosage and altered protein interactome activity. Hum. Mol. Genet. 26(7):1219-1229 (2017)
[2] C.H. Gravholt, et al. Klinefelter Syndrome: Integrating Genetics, Neuropsychology, and Endocrinology. Endocr. Rev. 39(4):389-423 (2018)
[3] K.A. Groth, et al. Klinefelter syndrome-a clinical update. J. Clin. Endocrinol. Metab. 98(1):20-30 (2013)
[4] A. Bojesen, et al. Morbidity in Klinefelter syndrome: a Danish register study based on hospital discharge diagnoses. J. Clin. Endocrinol. Metab. 91(4):1254-1260 (2006)
[5] S. Liu, et al. Glucose metabolic disorder in Klinefelter syndrome: a retrospective analysis in a single Chinese hospital and literature review. BMC Endocr. Disord. 21(1):239-248 (2021)
2 comments
京公网安备 11010502033361号
发布留言